Skip Menu
Continue
  • 319 South Manning Blvd,
  • Suite 102,
  • Albany, NY 12208
  • Home
  • About Us
    • Our Office
    • New Patients
    • Smile Gallery
    • Dental Videos
    • Testimonials
  • Meet Our Doctors
    • Svetlana Barats, DMD
    • Nicoleta Stone, DDS
  • Services
      • Bonding
      • Crowns & Caps
      • Dental Bridges
      • Dental Cleanings
      • Dental Fillings
      • Dentures
      • Digital Radiography
      • Fluoride Treatment
      • Implant Dentistry
      • Intra-Oral Camera
      • Laser Dentistry
      • Oral Cancer Screening
      • Oral Exams
      • Periodontal Treatment
      • Preventive Program
      • Root Canals
      • Sealants
      • Teeth Whitening
      • Veneers
    • View All
  • Dental Health
  • Contact
    • Contact Us
    • Request Appointment

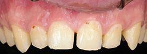
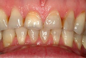
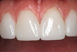
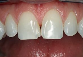
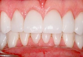
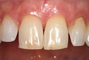
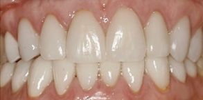
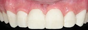
Smile Gallery

Additional Information

Our Location

319 South Manning Blvd
Suite 102
Albany, NY 12208
(518) 438-4401

Follow Us